Fogászat
A SanteMed fogászati rendelése csakúgy, mint minden szolgáltatásunk, cégünk filozófiájának szem előtt tartásával alakítottunk ki, vagyis a legmodernebb eljárásmódokat, gépeket, eszközöket és berendezéseket gyűjtöttük össze, hogy kiváló szakembereinknek minden körülmény adott legyen betegeink lehető legjobb ellátására.
FŐBB SZOLGÁLTATÁSAINK FOGÁSZATI RENDELÉSÜNKÖN:
- Általános fogászat
- Professzionális fogfehérítés
- Panoráma és intraorális röntgen
- Fogbeültetés – implantológia
- Szájsebészet
- Gyermekfogászat
- Altatásos fogászat
Klinikánkon az implantológiát egy forradalmi, német technológiával végezzük: a Bredent eljárással. Ezzel a módszerrel azonnali és fix implantok hozhatók létre, amely sokkal kényelmesebb és praktikusabb pácienseink számára, mint a hagyományos implantológiai megoldások! Az implantológia így egynapos kezeléssé alakul, mely kényelmes, gyors, így a páciensek már a beavatkozás napján élvezhetik a kezelés eredményét.

Implantológia
Mit nevezünk implantátumnak?
A fogászati implantátum célja a hiányzó fog, fogak gyökereinek állcsontban történő pótlása. Az esetek többségében, egy olyan speciálisan kidolgozott, nagy tisztaságú titán csavar, aminek a felszíni megmunkálása lehetővé teszi az állcsontban való rögzülést. Ez helyettesíti a fog gyökerét.
A legjobb, ha a fogpótlást közvetlenül a fogpótláson átmenő, rejtett csavarral rögzítjük az implantátumhoz, ezáltal így nincs szükség ragasztóra. Ennek legfőbb előnye, hogy a kapcsolat oldható marad és a későbbi javításra lehetőséget biztosít.
A fogászati implantátum 20-25 évre, vagy akár egy teljes életre szóló megoldást jelent.
Mikor alkalmazható implantáció?
Az implantátumokat egy vagy több fog pótlása érdekében használják a szomszédos fogak kezelése nélkül. Miközben egy-egy fog pótlására is kitűnőek, alkalmasak kisebb-nagyobb hidak alátámasztására is. A kivehető fogsorok stabilizálására is megoldást jelentenek, de leginkább e kényelmetlen, kompromisszumokkal teli protézisek kiváltását teszik lehetővé. Kedvező élettani hatásainak egyike, hogy jelenlétével az implantátum elősegíti a csont megőrzését, így fog elvesztése esetén mihamarabbi implantáció ajánlott.
Miért is van szükség implantámuokra?
A fogászati implantátum lehetőséget nyújt arra, hogy hidat, azaz rögzített, fix fogpótlást készítsenek közvetlenül a foghiány helyére a meglévő egészséges fogak lecsiszolása nélkül. A hídpótlás pilléreiként szolgáló implantátumoknak köszönhetően a kivehető fogpótlás készítése elkerülhető.
A rosszul illeszkedő fogsorok kihatnak a táplálkozásra, a beszédre és a megjelenésre is. A fogászati implantátumok képesek az instabil protézisek stabilitását biztosítani. Ezáltal a fogpótlás az implantáumokon stablian rögzül és máris megnő a komfortérzet, valamint a fogsor élettartama. Eredménye, hogy bármilyen szituációban magabiztosan nevethet és mosolyoghat és az étkezés is újra komfortossá válik.
Az implantátum előnyei
Hosszú távú megoldást jelent, gyakorlatilag tökéletes funkcionalitás és rendkívül magas szintű esztétikai tulajdonságok mellett. Elősegíti a csont megőrzését. A saját fogra készülő koronáknál, hidaknál erősebb és tartósabb fogpótlást kínál. A maximális hatékonyság és esztétika érdekében változatosan kombinálható különböző fogmegtartó kezelésekkel. Mindezeknek köszönhetően az implantáció segít visszanyerni a rágóképessége, a természetes mosolyt és a magabiztosságot.
Szájsebészet
Néha előfordul, hogy egyes fogak nem vagy csak részlegesen törik át a fogínyt. Ezek aztán gyulladást, kellemetlenebb esetekben cisztákat is létrehozhatnak. Érdemes a „megrekedt” fogakat minél hamarabb eltávolítani. Ez is a szájsebészet feladata.
A sebészeti fogeltávolítás akkor szükséges, ha a hagyományos eljárással nem sikerült eltávolítani a fogat. Ilyen az ínyszél alá törött fog, vagy ha a fog koronáját és a fognyakat a szuvasodás elroncsolta.
Bölcsességfog húzás, bölcsességfog eltávolítás
A bölcsességfogak normális fejlődéséhez a legtöbbünknél nincs elég hely. Mivel a bölcsességfog nem tud rendesen kibújni, gyakori azok szuvasodása. Gyakran előfordul, hogy az előttük álló fogakat nyomják előre, ami harapási rendellenességekhez, torlódáshoz vezethet. Ilyen esetekben szükséges a bölcsességfog húzás, vagyis a bölcsességfog eltávolítása.
Gyökércsúcs resectio
A gyökércsúcs resectio, olyan szájsebészeti eljárás, melynek célja a fog megtartása. A műtét során a gyökér-tömött fog fertőzött gyökércsúcsi részét a fogorvos eltávolítja, majd megtisztítja a közvetlen környezetét. A beavatkozás csak gyökér-kezelt fogak esetén alkalmazható. A beavatkozást követően az érintett terület kissé feldagadhat, ez természetes reakció a szervezet részéről. 1-2 nap pihenés indokolt lehet ilyen esetekben. Ezenkívül nagyon fontos a fokozott szájhigiénia.
Foggyökér eltávolítás szükséges:
- ha a korábbi foghúzás alkalmával bent maradt a gyökérmaradvány
- nagyon görbe gyökerek esetén
- ha a szomszédos fogak a gyökér fölé dőlnek, beszűkítve ezáltal a helyet
Altatásos fogászat
Nem sok ember van aki szereti hallani a fúró hangját, sőt vannak akik kimondottan félnek a fogászati kezeléstől. Manapság a fogászati kezelések a modern technológiának köszönhetően fájdalommentesek, de van akiket ez sem győz meg és továbbra is félnek. Aggódni nem kell, van egy jó hírünk: Kezeltetheti fogait altatásos kezelésben!
Az altatást minden esetben alapos kivizsgálás előzi meg, erre mindenképpen szükség van, nem tekinthetünk el tőle. A kivizsgálás elemei közé tartozik a laborvizsgálat, EKG és mellkas röntgen. Az általános kivizsgálást néhány nappal a beavatkozás előtt végezzük el. Az Ön leleteit aneszteziológus szakorvosaink ellenőrzik, és bármilyen felmerülő probléma esetén laborkontrollt kérünk. A beavatkozásra csak teljesen egészségesen kerülhet sor, bármilyen megfázás, hőemelkedés vagy influenza az altatás elhalasztását teszi szükségessé.
A laborvizsgálatok előtt ne fogyasszunk semmit, éhgyomorral kell menni.
A laborvizsgálatok után már ehetünk, de tudni kell, hogy az altatásos fogászati kezelés megkezdése előtt 5-6 órával már ne együnk és igyunk semmit.
Nem ajánlatos az altatásban végzett fogászati kezelés amennyiben Ön szív és érrendszeri betegségekben szenved.
Nem ajánlatos az altatásban végzett fogászati kezelés amennyiben Ön asztmatikus betegségben szenved.
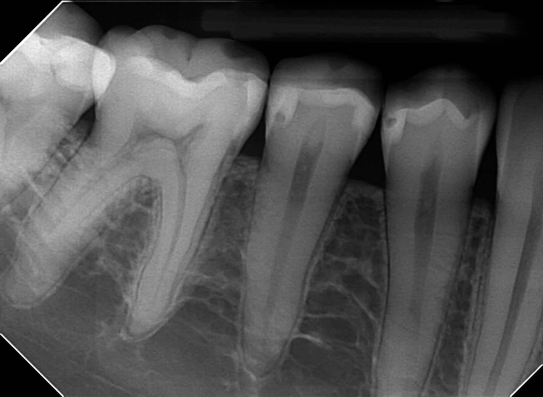
A sikeres kezelések egyik legfontosabb alapfeltétele az, hogy a kezelőorvos tiszta és egyértelmű képet kapjon fogainak állapotáról. A precíz diagnózis különösen fontos az implantátumok beültetése, a csontpótló beavatkozások végzése, az egyes fogágybetegségek kezelése és a szájsebészeti beavatkozások területén.
Fogászati intraorális röntgen
Abban az esetben, mikor csak egy vagy két fogat szükséges vizsgálni, akkor úgynevezett szájüregi felvétel, kisfelvétel készül. Ezek a felvételek digitális módon készülnek, ennek következtében a pácienst nagyon minimális sugárterhelés éri.
Az intraorális felvétel jóval részletgazdagabb, mint a panoráma felvétel. Ilyen röntgen kép készül a gyökérkezelések előtt, közben és a gyökértömés ellenőrzésekor. Tömések széli záródását, és az apró a fog oldalsó részén elhelyezkedő szuvasodást is ki tudja mutatni.

Fogászati panoráma röntgen
A panoráma felvétel segít a fogorvosnak megállapítani a látható jelek nélküli fogszuvasodást, fertőzést, csontveszteséget, fogágypusztulás mértékét. Felnőtteknél megállapítható a bölcsesség fog elhelyezkedése az állcsontban. Gyerekeknél a fogröntgen megmutathatja, hogy hol vannak a maradó fogak és azoknak számát. Góckutatás esetén elengedhetetlen.
A panoráma felvétellel átfogó két dimenziós képet lehet kapni az alsó- felső állcsontról, a bennük futó képletekről, a fogak helyzetéről, állapotáról illetve az állkapocsízületről.

Fogászati CT
Mi az előnye a CT-nek a hagyományos két dimenziós panoráma felvétellel szemben?
A hagyományos panoráma felvétel a kép különböző területein eltérő mértékben torzít, és a torzítás mértéke gyártmánytól függően változik. Ezen kívül a felvételkészítés során minden anatómiai képlet, ami a detektor és a sugárforrás között található rávetül a képre, így egyes anatómiai részletek vagy nem láthatóak, vagy kontúr álatlanok, elmosódottak. A rávetülések jelentősen nehezítik a felvételek kiértékelését.
Ez az egyedülállóan új képalkotási eljárás lehetővé teszi, hogy a vizsgálandó területről 1:1 méretarányos, rávetülés nélküli, több irányból megjeleníthető 3 dimenziós kép készüljön. Ezen kívül nem csak a csont mennyisége, hanem a csont minősége is vizsgálható a felvételeken.
Pontos méréseket végez, meghatározza az implantátumok formáját, méretét és hosszát, hogy a műtéthez az asszisztens előre kikészíthesse a szükséges anyagokat eszközöket, implantátumokat.





Professzionális fogfehérítés, a szép és magabiztos mosolyért.

Csúcstechnológiás fogfehérítés Philips Zoom technológiával
Sztármosoly. Ezzel a jelzővel illeti a köznyelv a szabályos, vakítóan fehér fogsorukat büszkén villantók nevetését, melyben tagadhatatlanul jól esik gyönyörködni. Legyen szó férfiról vagy nőről, fiatalról vagy idősről, az ápolt, esztétikus fogsor a vonzó megjelenés záloga, ma már hazánkban sem csupán a filmsztárok és modellek kiváltsága.
Mi a fogfehérítés?
Olyan eljárás, amely során a fog belső rétegiben képződött elszíneződést kifehéríti.
Mik okozhatják az elszíneződést?
Nagyon sok okozója lehet. A legelterjedtebb okok a mindennapi szokások (kávé, tea, kóla, dohányzás) és az öregedés. Ezek mellett szerepel még a tetraciklin vagy fluorózis által okozott elszíneződések, trauma, rossz idegi működés.
Biztonságos az eljárás?
Klinikai tesztek és tanulmányok igazolják, hogy a hidrogén-peroxiddal történő fogfehérítés a legbiztonságosabb és legeredményesebb fogászati esztétikai eljárás. Természetesen ez csak akkor igaz, ha fogorvos felügyeletével történik a fehérítés!
A rendelői fogfehérítés előnye, hogy „egy ülésben” előkészítéssel együtt másfél óra alatt elérhető az az eredmény, amely az otthoni sínes esetében kb. két hét. A rendelő fogfehérítést követően 48 órán belül, míg az otthoni sínes módszerrel legalább két hétig nem tanácsos színes ételeket-italokat fogyasztani, vagy színes fogkrémet használni. Annak érdemes az otthoni módszert használni, aki képes betartani a hosszabb időtartamra szóló „aszkéta” életet, viszont saját életritmusához igazodva szeretné a fehérítést elvégezni.
A rendelőben végzett lámpás fogfehérítés kb. másfél órát vesz igénybe az előkészítéssel együtt.
Folyamat:
- páciens kikérdezése, konzultáció
- dentálhigiéniai előkészítés
- egyéni szilikonsík, egyedi Zoom zselé
- fehérítés utáni utókezelés

